
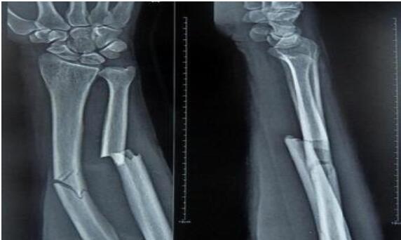
山丹接骨法是一種民間治療手段。山丹縣東樂鄉村民姜多明師從其父,掌握了接骨這門民間絕技。姜多明家族接骨已有上百年歷史,其父親是東樂一帶有名的中醫。改革開放前,由于農村醫療條件有限,這一技術在農村發揮了很大作用,給人民群眾減輕了不少身體上的痛苦。這項接骨技術同時也適用于給牲畜接骨。骨折愈合過程是一個高度復雜和有序的精細過程,姜多明所用的中醫傳統接骨法對骨折愈合起到了其他藥品不可替代的作用,效果很好。這種傳統的接骨方法極為簡潔,不用石膏,只用中草藥加雞蛋清,中藥主要起治療作用,蛋清起固定作用。治療周期較短,小孩子7—8天,傷勢較重的最多1月;成人根據傷勢而定,最多40—50天;牲畜所用天數根據情況而定。 2010年7月6日,山丹接骨法(民間傳統接骨法)被張掖市人民政府列入第二批張掖市非物質文化遺產代表性項目名錄。保護單位:張掖市山丹縣文化館。